10 настоящих ошибок природы
Неважно, чем вызваны уродства — генетикой или факторами окружающей среды, они всегда вызывали любопытство людей во всём мире. Некоторые обладатели уродств просто принимают себя такими, какие они есть, и живут полноценной жизнью. Некоторые идут на рискованные операции в надежде изменить свою внешность. Некоторые присоединяются к цирку, и используют ярлык «урод» для заработка. А некоторые просто прячутся подальше, дабы люди не шарахались от них в ужасе.
1. Роговая кератома

Роговая кератома (cornu cutaneum) возникает тогда, когда кератин принимает коническую форму и проступает наружу сквозь кожу в виде рогов. Поражения кожи, которые обнаруживаются у основания этих рогов, могут быть как злокачественными, так и доброкачественными. Кожные рога появляются, как правило, у людей со светлой кожей, возраст которых 50 лет и более. Причём открытые участки кожи наиболее восприимчивы к возникновению этого отклонения. Для точного определения его причины часто проводится биопсия, так как рога часто бывают связаны с самыми разными заболеваниями — от обычной бородавки до болезни Боуэна. Большинство рогов доброкачественные, однако около 20% способны вызвать рак, а ещё 20% вызывают различные предраковые состояния.
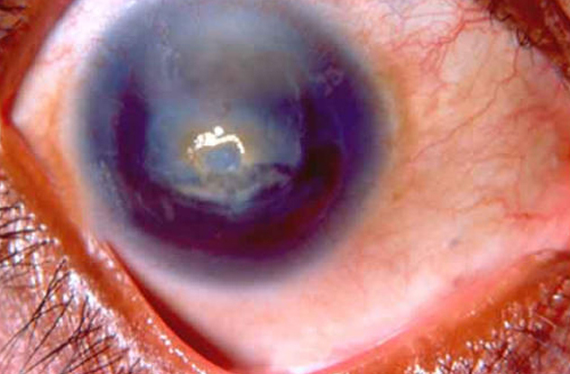
2. Аниридия

Совершенно чёрные глаза — это не обязательно признак абсолютного зла. Состояние под названием аниридия способно лишить цвета радужку глаза, что в свою очередь может привести к сильному ослаблению зрения и высокой чувствительности к свету.
Буквальный перевод слова «аниридия» — «без радужной оболочки». Из-за аниридии могут развиться и другие болезни, такие, как глаукома и катаракта. Тот, кто страдает аниридией, может быть или полностью слеп, или может видеть достаточно хорошо для того, чтобы двигаться. Это состояние вызывает генетическая мутация. Происходит она приблизительно в конце первого триместра беременности, как раз тогда, когда у плода развиваются глаза. Аниридия — наследственное заболевание. Если она была у кого-то из родителей, то с вероятностью 50% она может возникнуть и у детей.
3. Рекурвация коленных суставов

Люди с рекурвацией коленных суставов в состоянии сгибать колени назад. В наиболее тяжёлых случаях такое состояние может быть обусловлено врождённым вывихом коленей. В других случаях причиной может быть разница в длине ног или тяжёлое заболевание, такое, как церебральный паралич или рассеянный склероз. Ещё одной причиной может стать физическая травма коленного сустава. Произойти это может во время занятий спортом, или в ходе автомобильной аварии, к примеру. В лечении этого заболевания может помочь хирургия и физиотерапия. Также могут использоваться специальные скобы для ног. В зависимости от того, насколько эффективным окажется лечение, для некоторых пациентов это состояние может стать причиной постоянной инвалидности. На сегодняшний день наиболее известным примером рекурвации коленных суставов является Элла Харпер (Ella Harper), жившая в штате Теннесси в 1870-м году. Передвигаться ей приходилось на четвереньках. Её называли «девочка-верблюд».
4. Синдром недостаточности мышц живота

Более известный как синдром Игла-Барретта, синдром недостаточности мышц живота вызывает сильную слабость мышц брюшного пресса. Это приводит к тому, что живот отвисает, сморщивается, и по внешнему виду напоминает чернослив. Мочевой пузырь больного в такой ситуации испытывает постоянное давление, при этом опорожнить его пациенту бывает очень трудно. Это приводит к возникновению целого спектра сопутствующих осложнений. Эти осложнения могут затронуть внутренние органы, гениталии и даже скелет пациента. Причины возникновения данного заболевания к настоящему моменту точно не определены. Вполне возможно, что синдром недостаточности мышц живота — это наследственное заболевание, так как многочисленные случаи были зафиксированы в семьях. Когда плод ещё только развивается в утробе матери, то признаки этого заболевания можно увидеть уже во время УЗИ. Почти все пациенты, страдающие этим синдромом — мужчины, а точнее, их 95%. Дети с этим заболеванием часто рождаются мёртвыми, а оставшиеся в живых после рождения часто умирают в очень раннем возрасте, из-за осложнений заболевания.
5. Эктродактилия

Люди, родившиеся с эктродактилией, как правило имеют уродства на обеих руках или ногах. Для коррекции этого состояния приходится прибегать к помощи хирургов. Известная также как «синдром клешней» эктродактилия представляет собой отсутствие нескольких пальцев на руках или ногах. Оставшиеся пальцы рук или ног часто бывают соединены друг с другом перепонкой из кожи. Если деформирована только одна конечность, то скорее всего, это случилось из-за не-наследственной генетической мутации. Если же деформация наблюдается на обеих руках или ногах, то заболевание было унаследовано. У родителей с дефектным геном есть 50% шанс передать заболевание своим потомкам.
6. Нейрофиброматоз

Пациенты с нейрофиброматозом имеют особые опухоли (нейрофибромы) возникающие на месте нервов или под кожей. Нейрофибромы могут быть удалены хирургическим путём, но лишь частично. Но даже если удалить их нельзя, они в большинстве случаев не вызывают осложнений, так как являются доброкачественными. Есть два типа нейрофиброматоза, самый распространённый тип называется болезнью Реклингхаузена. Она может быть наследственной. У родителей с болезнью Реклингхаузена есть 50% шанс передать её своим детям. Если же в семейной истории болезней ранее не наблюдалось пациентов с этим заболеванием, то это означает, что оно вызвано генетической мутацией.
7. Полителия
Когда на теле появляется больше двух сосков, такое состояние медики называют полителия. Дополнительные соски обычно возникают вдоль молочных линий, которые проходят вдоль тела, от верхней части туловища к области паха. Хотя соски могут возникнуть и в других местах, например, на бёдрах, на шее и даже на лице. Случаи заболеваний, связанных с полителией, были зарегистрированы лишь несколько раз. Независимо от того, где появляются эти аномалии, они практически всегда безвредны. Недостаточно развитые дополнительный соски иногда принимают за родинки, и удаляют в косметических целях. Знаменитости, такие, как Марк Уолберг иногда признаются, что имеют третий сосок. А Гарри Стайлс из группы One Direction недавно признался, что сосков у него четыре. В целом это отклонение весьма распространено, оно поражает примерно 6% американского населения.
8. Хвостовидный придаток
Хвостовидный придаток — это человеческий хвост, который не похож на хвост животного. Потому что человеческие хвосты не помогают людям сохранять равновесие или отмахиваться от мух. В некоторых случаях хвостовидный придаток может быть симптомом серьёзных заболеваний позвоночника, таких, как расщепление позвоночных дуг. Хвостовидный придаток есть у всех людей, пока они находятся в утробе матери. Но как правило, этот придаток исчезает ещё до рождения ребёнка. Однако не каждый плод развивается предсказуемо. Если придаток не рассосался в утробе, ребёнок рождается с хвостом. Хвост обычно состоит из жира, мышц, нервов и кровеносных сосудов. И в нём не бывает ни хрящей, ни костей. У мужчин это отклонение проявляется в два раза чаще, чем у женщин. Хвостовидный придаток может быть удалён хирургическим путём, при условии, что такая операция будет признана безопасной.
9. Полимастия
Когда на теле человека неожиданно появляется дополнительная молочная железа, такое состояние называется полимастия. Дополнительные молочные железы, как правило, появляются там же, где и дополнительные соски: молочные линии и пах. Но иногда они могут возникать и на ягодицах, спине, бёдрах и даже на лице. Высока вероятность того, что такая молочная железа может содержать в себе злокачественную опухоль, и угрожать здоровью пациента. Также следует отметить, что полимастия — это аномалия, которая распространяется за пределы человеческого вида. У нескольких приматов также было диагностировано это состояние. У животных это большая редкость, однако наука официально подтвердила, что существует такая вещь, как полимастия у обезьян.
10. Гипертрихоз

Гипертрихоз также известен как синдром Амбраса. А ещё его иногда называют «синдромом оборотня». Из-за генетических отклонений у людей с гипертрихозом появляется избыточное количество волос, которые могут расти либо по всему телу, либо концентрироваться в какой-то одной области. На данный момент официально зафиксировано менее 60 случаев гипертрихоза, но это не просто какая-то редкость для истории. Люди с гипертрихозом живут и сегодня. В 2010-м году Супатра «Нэт» Сасуфан из Тайланда попал в книгу рекордов Гиннеса как самый волосатый подросток на планете.











